Bone Grafting and Dental Bone Transplant in Tucson
If your jawbone has weakened after tooth extraction, periodontal disease, or injury, our bone grafting treatment can help you rebuild it. This allows you to smile confidently, chew comfortably, and maintain long-term oral health. With flexible financing and insurance assistance, we make advanced bone regeneration treatments accessible to everyone in Tucson.
Our periodontists carefully plan every case according to your dental needs, using high-quality materials and advanced surgical techniques. This helps promote faster healing, strong bone regeneration, and lasting stability for future restorations.
Meet Your Tucson Dentist
Dr. Brock Boudreaux, (pronounced “Boo-drow”) attended Utah Valley University for his undergraduate degree. After which he traveled across the country to Kentucky where he received his Doctor of Dental Medicine degree from the University of Louisville School of Dentistry. Though he is a Louisville Cardinal for life, he is finding it very easy to become a Wildcat fan!
Let’s Get Your Smile
Taken Care Of
Do you have a question or would you like to schedule a visit? Contact our team, and we will assist you right away. We are here to offer thoughtful guidance and a smooth start to your care.
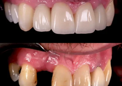
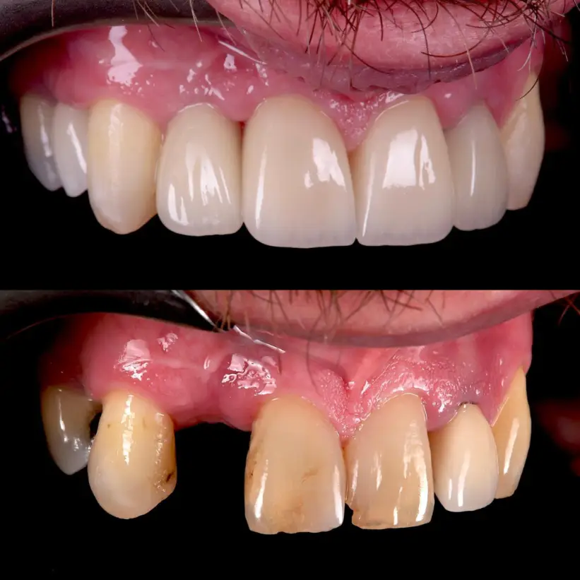
Our Bone Grafting Services in Tucson
We provide bone regeneration procedures that help heal the jaw, rebuild lost structure, and strengthen the foundation for future implants or bridges through safe, proven treatment.
- Socket Preservation
- Ridge Augmentation
- Sinus Lift (Molar Bone Graft)
- Periodontal Bone Graft
- Osseous Grafting Surgery
- Our Bone Grafting Treatment Details
Socket Preservation
This procedure is performed immediately after tooth extraction to prevent bone loss. The graft material is placed directly into the empty socket to maintain bone volume and avoid natural shrinkage. It makes future implant placement easier, more accurate, and more comfortable.
Our surgeons use safe, biocompatible transplant materials and a protective membrane that encourages natural bone growth while keeping soft tissues out of the area. This method preserves your facial shape and jaw strength for long-term oral health.
If you recently had a tooth removed or are planning an extraction, scheduling a graft right away can help maintain your jawbone health.
Ridge Augmentation
If your jawbone has lost its natural shape or thickness after tooth loss, ridge augmentation can restore both height and width. This treatment rebuilds the bone structure needed for secure implant or bridge placement.
Our prosthodontist uses refined grafting methods and selects materials suited to your anatomy and treatment goals. The material is chosen after a detailed evaluation to ensure strength and solid integration with your jawbone.
We have helped many Tucson patients, from Peter Howell to those in Menlo Park, restore bone volume and regain confidence in their smiles.
Sinus Lift (Molar Bone Graft)
If you’ve lost bone in the upper molar area, we recommend a sinus lift that helps rebuild the height needed for secure implant placement.
During the procedure, our periodontist gently raises the sinus membrane and adds grafting material underneath to strengthen the bone. It is beneficial if you have naturally low sinuses or bone loss that limits implant treatment.
We use careful, proven techniques to place the graft material where bone is thin or missing. A protective membrane supports healing and shields the sinus cavity during recovery.
Our team at Tucson dental office focuses on your comfort at every step, and this treatment allows you to regain solid jaw support in just a few months.
Periodontal Bone Graft
If gum disease has weakened the bone around your teeth, a periodontal bone graft can help you rebuild that support and keep your natural teeth in place. It encourages new bone growth around your roots, restoring stability and stopping further loss.
During your visit, graft material is placed around the affected area and covered with a thin membrane that protects and guides healing. Getting this treatment early helps you stop bone loss before it progresses, strengthens your bite, and improves overall gum health.
Osseous Grafting Surgery
In cases of severe gum disease with deep pockets, osseous grafting surgery helps regenerate lost bone tissue. Our surgeons clean the affected area, reshape the bone to remove bacteria, and apply grafting material with a protective membrane to stimulate growth.
We recommend this treatment for patients in advanced stages of periodontitis who want to preserve their natural teeth. It supports small bone defects, tightens gum attachment, and prevents teeth from becoming loose.
Our Bone Grafting Treatment Details
Your treatment begins with a complete evaluation using 3D scans and digital imaging. This allows our specialists to locate bone loss, measure bone density, and plan a graft suited to your needs. We perform grafting after extractions, before implant placement, and for loose teeth that need added support.
Your comfort is always our focus. Depending on the procedure, we may use local anaesthesia, IV sedation, or oral sedation to keep you relaxed. Once the area is numb, our oral surgeon carefully opens the gum tissue, cleans the site, and prepares it for the dental bone transplant..
The selected graft material, which may be natural, donor, or synthetic, is positioned in the jaw and protected with a dental membrane if required. The membrane keeps soft tissue out of the graft site and supports healthy bone regeneration.
After placement, the gum tissue is repositioned and sutured to heal naturally. Over the next few months, the graft fuses with your bone to create a strong, stable foundation for teeth or dental implants.
With advanced imaging, modern materials, and experienced specialists, Rincon Dentistry helps Tucson patients rebuild bone and restore lasting oral health.
Frequently Asked Questions
What is a dental bone replacement graft?
It is a surgical process that restores lost jawbone using biological or artificial bone material.
What does a bone transplant material look like?
It is a small, granular, and spongy material when placed in the socket. Over time, it blends in naturally as new bone regenerates.
How to speed up dental bone graft healing?
To speed up healing, it is important to follow the post-treatment instructions of your specialist. Avoid smoking or alcohol, maintain a nutrition-rich diet, and use ice-packs for swelling.
How long does bone graft surgery take to heal?
Healing usually takes three to six months, depending on the size and location. Mild soreness or swelling is normal at first.
Are socket grafts painful?
It is not usually painful because anaesthesia or oral sedations are used to keep you comfortable and the procedure pain-free.
What happens if the bone graft membrane comes out?
If the graft membrane comes out in a few days, it is considered normal. However, if the sutures are torn or a large amount of membrane is coming out, you should consult your surgeon.
