Clear Aligners & Invisalign In Tucson
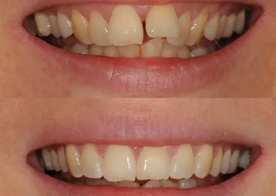
Clear aligners are a simple, discreet way to straighten teeth without the metal or tightening that come with braces. Each set of clear trays fits comfortably and works gently over time to bring your teeth into better alignment while keeping your smile looking natural.
At our Tucson dental office, we use advanced digital imaging to plan every stage of movement and design aligners that fit precisely and move teeth safely. You can remove them to eat or brush, keeping your routine simple and your teeth healthy as they shift into place.
If you are ready to improve your smile without traditional braces, our team provides clear aligner treatment with genuine attention, experience, and guidance from start to finish.
Meet Your Tucson Dentist
Dr. Brock Boudreaux, (pronounced “Boo-drow”) attended Utah Valley University for his undergraduate degree. After which he traveled across the country to Kentucky where he received his Doctor of Dental Medicine degree from the University of Louisville School of Dentistry. Though he is a Louisville Cardinal for life, he is finding it very easy to become a Wildcat fan!
Let’s Get Your Smile
Taken Care Of
Do you have a question or would you like to schedule a visit? Contact our team, and we will assist you right away. We are here to offer thoughtful guidance and a smooth start to your care.
Types of Clear Aligners We Offer
We offer different types of clear aligners to fit your needs and goals. Each one helps straighten your teeth gently and comfortably with guidance from our dental team.
Invisalign
Invisalign aligners combine advanced planning technology with comfortable design to help you achieve a straighter smile without brackets or wires. By using detailed digital scans, we map how each tooth will move and create aligners that guide that process naturally.
This option is ideal for closing small gaps, easing mild crowding, and improving bite alignment. Regular checkups allow us to track your progress and make sure every stage moves smoothly toward your final result. You can also explore our full range of cosmetic dentistry treatments if you would like to enhance the look of your smile even further.
Transparent or Clear Plastic Aligners
For patients seeking a simple and budget-friendly alternative, we offer clear plastic aligners that provide the same discreet appearance and easy routine. These trays fit closely around your teeth, staying almost invisible while keeping your mouth comfortable throughout the day.
They are best suited for mild adjustments and shorter treatment plans. You can remove them to eat or brush, making it easier to keep your smile clean and fresh as it transforms.
Orthodontic Retainer Aligners
After your teeth have reached their new position, retainer aligners help keep them there. These clear retainers are custom-made from lightweight material that fits comfortably while protecting the progress you have made.
We guide our patients on daily wear and simple care so your smile stays stable and feels natural and well-balanced.
How Our Clear Aligner Treatment Works
Our clear aligner process is designed to make every step comfortable and predictable from start to finish. Here is what you can expect when you begin treatment with our local dental team:
1- Digital Smile Scans: We start with precise imaging to capture every angle of your teeth and plan your new smile without traditional impressions.
2- Personalized Treatment Plan: You will see how your teeth will move and what your final result will look like before we begin.
3- Custom Aligner Creation: Each tray is made to fit your mouth securely and move teeth safely at a steady pace.
4- Progress Checks: We schedule short visits to monitor your movement and keep your treatment on track.
5- New Trays and Final Results: As your smile improves, we provide new sets of aligners until your teeth reach their ideal position.
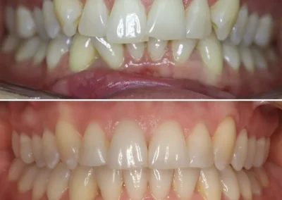
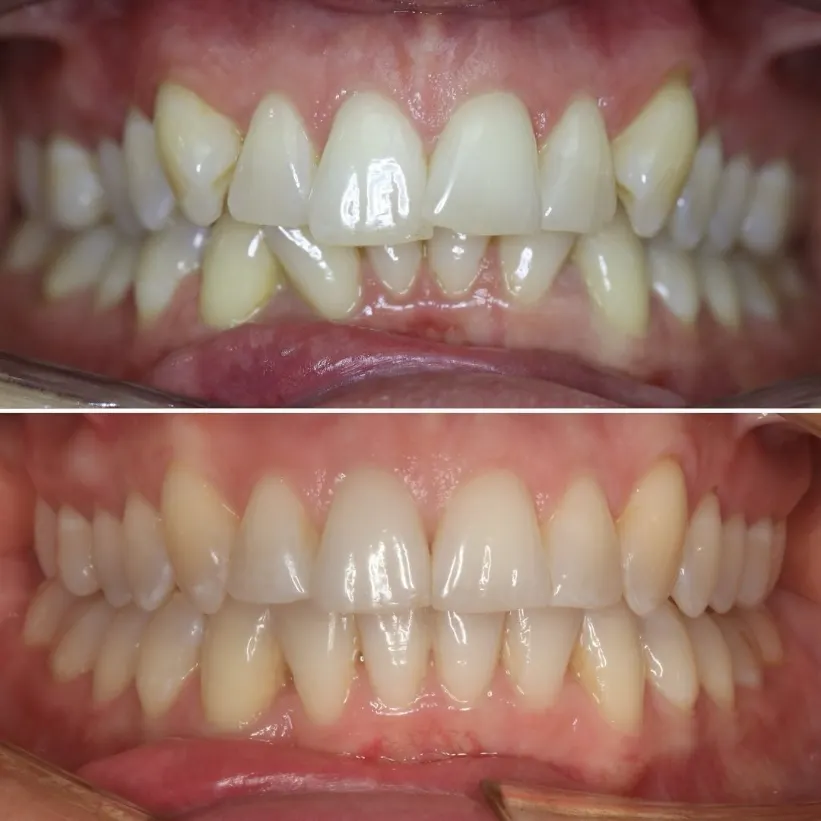
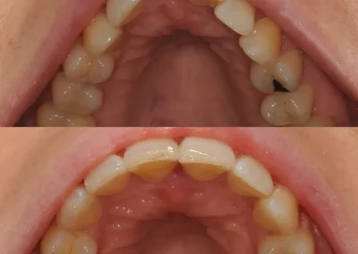
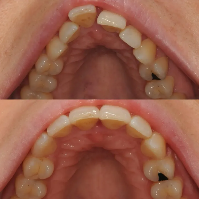
Smile Concerns We Treat with Clear Aligners
We use clear aligners to help you straighten teeth comfortably and confidently. Each set of trays guides your teeth into the right position while fitting easily into your everyday routine.
- Crowded Teeth: Aligners gently move overlapping teeth apart to create even spacing and easier cleaning.
- Gaps Between Teeth: They close unwanted spaces step by step, bringing teeth together for a balanced look.
- Mild Overbite or Underbite: Clear trays shift teeth into a healthier position, reducing pressure on your jaw and improving comfort.
- General Alignment: Even small rotations or uneven spacing respond well to consistent aligner wear and regular progress checks.
Our team at our Tucson office follows your progress closely, making sure your teeth move comfortably and your smile develops as planned. We provide care under state-approved guidelines set by the Arizona State Board of Dental Examiners.
Frequently Asked Questions
What is the average cost of clear aligners?
The cost depends on how much movement your teeth need and how long treatment lasts. In Tucson, clear aligner treatment typically ranges between $3,000 and $6,000, depending on complexity and the number of trays required. We review your goals during your visit and provide an exact estimate before starting.
How long does aligner treatment take?
Most treatments last between several months and a year, depending on the complexity of your case. You will start seeing changes within the first few weeks as your teeth begin to shift.
Can clear aligners fix overbites or gaps?
Yes. Clear aligners can correct mild bite problems and close small to moderate gaps when planned by an experienced dental team.
Are clear aligners as effective as braces?
For mild to moderate alignment issues, they deliver the same results as braces while offering more comfort and flexibility.
How do I clean and store my aligners?
Rinse them with cool water, brush them gently with a soft toothbrush, and keep them in their protective case when not in use. Avoid hot water, as it can change the fit.
