Custom Inlays and Onlays for Teeth Restoration in Tucson
Do you have a tooth too damaged for a filling but not enough for a full crown? In this case, a filling will not hold properly. Our inlays and onlays restore your tooth’s strength, shape, and appearance without unnecessary dental work.
At Rincon Dentistry, we design and bond indirect restorations that fit perfectly, strengthen weak areas, and match your natural enamel. With years of local experience, our team in Tucson provides lasting and natural-looking results using trusted materials and technology.
Meet Your Tucson Dentist
Dr. Brock Boudreaux, (pronounced “Boo-drow”) attended Utah Valley University for his undergraduate degree. After which he traveled across the country to Kentucky where he received his Doctor of Dental Medicine degree from the University of Louisville School of Dentistry. Though he is a Louisville Cardinal for life, he is finding it very easy to become a Wildcat fan!
Let’s Get Your Smile
Taken Care Of
Do you have a question or would you like to schedule a visit? Contact our team, and we will assist you right away. We are here to offer thoughtful guidance and a smooth start to your care.
Inlays and Onlays Services We Offer
We create indirect restorations that match your tooth’s needs and blend naturally with your smile. From restoring a molar to repairing a front tooth, our goal is strength, comfort, and a smooth finish.
All restorations are shaped and bonded with high accuracy for a secure fit. We also assist with financing and insurance to make the process affordable and accessible for patients across Tucson.
- Porcelain Inlays and Onlays
- Ceramic Inlays and Onlays
- Composite Inlays and Onlays
- Gold Inlays and Onlays
- Our Inlay and Onlay Restoration Treatment Process
Porcelain Inlays and Onlays
Porcelain restorations are a popular choice among Tucson patients because they are tooth-colored, stain-resistant, and long-lasting. These are especially effective for front teeth since they blend with the surrounding enamel for a seamless look.
Our dentists use advanced CAD/CAM digital scanning to design the restoration with exact accuracy. This preserves more of your healthy tooth and restores its natural function and beauty.
Ceramic Inlays and Onlays
Ceramic restorations provide excellent durability while maintaining a natural appearance. They are made from materials such as zirconia, glass-infiltrated ceramic, or lithium disilicate for strong, long-term performance.
We recommend this to bruxism patients and those who want a metal-free solution, without compromising on aesthetics or function. Our restorative dentist bonds each piece carefully to match your bite and maintain strength and comfort.
Composite Inlays and Onlays
Composite inlays and onlays are used when a cavity is too large for a standard filling but does not require a full crown. They are made from composite resin blended with reinforcing materials like zirconia or silica for added strength and natural colour.
We perform inlay treatment when decay is limited to the inner portion of your tooth and an onlay when damage extends across one or more cusps. Inlays fit inside the cavity and rebuild the lost structure, while onlays cover larger areas to restore shape and function.
Resin restorations are lightweight and durable, providing an effective solution for moderate decay or damage.
Gold Inlays and Onlays
Gold restorations are chosen for their unmatched strength and long lifespan. They withstand heavy biting forces, making them an excellent option for molars and premolars.
While gold does not blend with enamel color, many patients choose it for its durability and low maintenance. It is a reliable solution that protects your tooth for many years without frequent repair or replacement.
Our Inlay and Onlay Restoration Treatment Process
Our prosthodontist will examine your damaged tooth first to determine the right restoration treatment plan for you. If needed, the decayed area is cleaned, shaped, and prepared for bonding.
Digital or traditional impressions are then taken to ensure your restoration fits precisely. A temporary dental filling protects the tooth while the final piece is being made.
On your second visit, we check the fit of the new indirect filling or partial crown and securely bond it using high-grade dental adhesive.
The final steps include bite check, adjustments, and polishing the surface for a smooth, natural finish that restores comfortable chewing and bite alignment.
Rincon Dentistry has earned trust across Tucson from Catalina Foothills to Pima Canyon by helping patients restore teeth that look, feel, and function just like natural ones.
Our materials and methods are supported by published research and trusted clinical standards from the National Library of Medicine.
Frequently Asked Questions
Is a dental inlay painful?
No. The procedure is done under local anesthesia, so you remain comfortable during the entire process.
Which is better, an inlay, an onlay, or a crown?
The right choice depends on how much of your tooth is damaged. Inlays are best for smaller areas, onlays for larger portions, and crowns when most of the structure needs coverage.
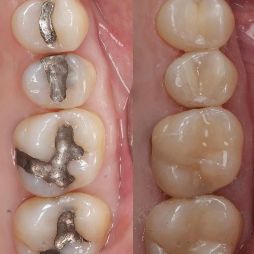
How will my teeth look with a dental onlay before and after?
Before treatment, your tooth may appear cracked or decayed. After placement, it looks smooth, strong, and natural again.
How much does an inlay cost vs an onlay?
Costs are similar and generally range between $650 and $1,200 per tooth, depending on material and size.
Are inlays and onlays better than fillings?
Yes. When a cavity is too large for a regular filling, these restorations provide longer-lasting protection and help preserve your natural enamel.
