Professional Dental Scaling and Root Planning in Tucson
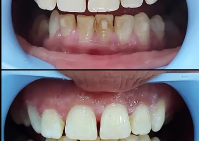
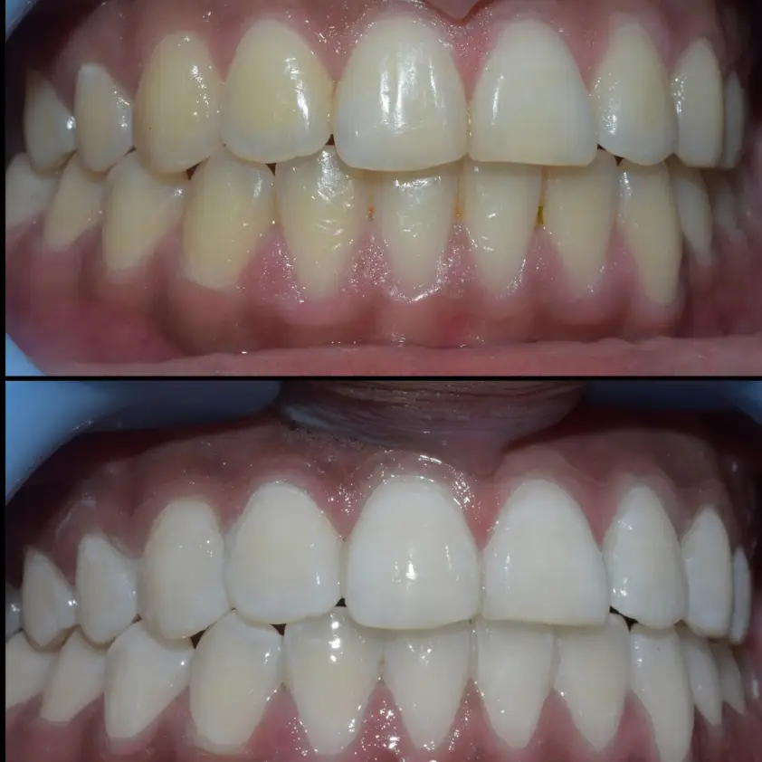
If your gums bleed when you brush, feel swollen, or you notice ongoing bad breath, it could mean bacteria are collecting beneath your gums. At Rincon Dentistry in Tucson, we perform professional scaling and root planing to remove deep buildup, stop infection, and restore gum health.
Dr. Boudreaux and our team have helped many patients restore healthy gums with honest guidance and gentle, effective cleaning.
Meet Your Tucson Dentist
Dr. Brock Boudreaux, (pronounced “Boo-drow”) attended Utah Valley University for his undergraduate degree. After which he traveled across the country to Kentucky where he received his Doctor of Dental Medicine degree from the University of Louisville School of Dentistry. Though he is a Louisville Cardinal for life, he is finding it very easy to become a Wildcat fan!
Let’s Get Your Smile
Taken Care Of
Do you have a question or would you like to schedule a visit? Contact our team, and we will assist you right away. We are here to offer thoughtful guidance and a smooth start to your care.
Our Scaling and Root Planing Treatment Details
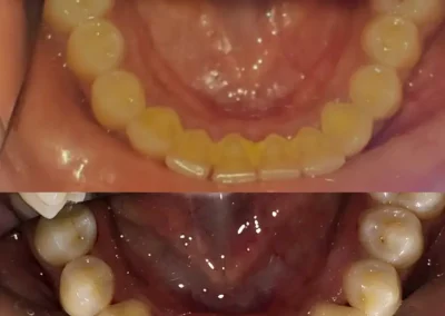
Gum infections begin when plaque and tartar form below the gumline, creating pockets that trap bacteria. Through non-surgical periodontal treatment, we clean these areas and allow your gums to reattach naturally.
Your visit begins with a full gum exam and pocket measurement. This tells us if you need standard scaling, root planing, or both. Depending on the stage of gum disease, we may divide the cleaning into one to four sessions.
In most cases, one or two quadrants are treated per visit, and each appointment lasts about one to two hours. The process is focused, thorough, and designed around your comfort.
Dental Scaling
Teeth scaling removes hardened buildup above and below the gumline that regular brushing cannot reach. Our hygienist uses ultrasonic and manual tools to clean every surface, reducing inflammation and improving gum attachment.
Supragingival scaling clears surface stains and plaque, while subgingival scaling focuses deeper, reaching the pockets where bacteria form. Treating these areas early helps you avoid bone loss, bad breath, and gum infection that could turn into periodontitis.
Ultrasonic Scaling with Local Anaesthesia
When your gums are sensitive or buildup sits deep under the surface, we recommend ultrasonic scaling. The procedure uses gentle vibration and a steady stream of water to break down hardened deposits without pressure or scraping.
Our dental team applies local anaesthesia If you have dental anxiety or heightened sensitivity so you would stay relaxed throughout treatment. This technique shortens recovery time and helps swelling settle quickly, leaving your mouth clean and refreshed within a few days.
Root Planing
After scaling, we perform root planing to smooth rough spots along the roots where bacteria collect. This helps your gums reattach naturally and lowers the risk of infection coming back.
During treatment, our dental team carefully clears bacterial residue and soft buildup from the root surfaces with fine instruments. In some cases, we place antimicrobial rinses or localised antibiotics in deeper pockets to support healing and help your gums stay strong.
We complete root planing in carefully planned sessions, focusing on comfort and accuracy. The process is designed to help your gums recover naturally and keep the foundation of your teeth strong.
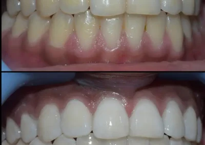
Dental Polishing
Once scaling and root planing are complete, polishing smooths the enamel and lifts surface stains left behind by daily buildup. This finishing step leaves your teeth cleaner and your gums healthier.
Our hygienist uses a soft polishing cup and fine paste to bring back your enamel’s natural shine. Smoother surfaces make it harder for plaque to collect again, helping you maintain a fresh, clean mouth for longer between visits.
Regular polishing also supports the results of deep cleaning by keeping your gums firm and free from new buildup.
Recovery and Aftercare
After deep cleaning, your gums may feel tender or slightly sensitive for a few days. These reactions are normal and fade as the tissues begin to heal. Most patients notice full recovery within two to four weeks, depending on how severe the infection was before treatment.
Stick to soft foods for the first few days and avoid anything too hot, cold, or sweet. Rinse with warm salt water and brush gently to keep your mouth clean without irritating the area. It’s best to keep up with daily flossing once tenderness settles so the gums reattach firmly and stay healthy.
Follow-up visits let us check healing and confirm that the infection has cleared. After recovery, regular maintenance cleaning every few months helps protect the results and keeps your gums stable. If you feel any sensitivity during treatment, local anesthesia can be used to keep you comfortable throughout care.
Book a visit whenever you notice early signs of gum inflammation so we can help you prevent deeper infection and keep your smile healthy.
Frequently Asked Questions
How much does scaling and root planing cost?
On average, scaling and root planing costs around $200 to $300 per quadrant. At Rincon Dentistry, we review your gums during the exam and give a clear estimate based on what your mouth actually needs before starting treatment.
What is dental scaling?
Dental scaling removes plaque and tartar from below the gumline to stop bacteria that cause gum disease. At Rincon Dentistry, we use advanced ultrasonic and hand instruments for a thorough, comfortable clean.
What is deep cleaning of teeth?
Deep cleaning, also called scaling and root planing, removes buildup and bacteria below the gums to treat gingivitis and early periodontitis before surgery is needed.
Is deep teeth cleaning painful?
The procedure is performed under local anesthesia, so you should not feel pain. Some mild tenderness or sensitivity may appear afterward but typically fades within a few days.
Can I eat after a deep cleaning?
Wait at least two hours after treatment before eating. Stick to soft, non-spicy foods for the first 48 hours to protect healing tissues.
How long does it take gums to heal after scaling and root planing?
Initial healing begins within a week, and full recovery usually takes three to four weeks as gums tighten and reattach.
How often should I get scaling and root planing done?
Most healthy patients benefit from scaling once or twice a year, while those with chronic gum disease may need it every three to four months for best results.
