High Quality Dental Bonding In Tucson
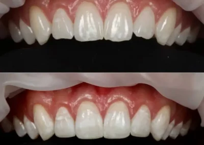
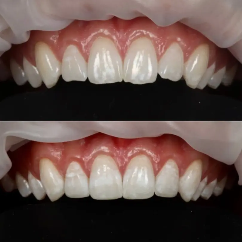
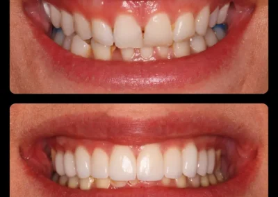
Do you have a chipped, cracked, or uneven tooth that keeps you from smiling freely? At Rincon Family Dentistry, we restore natural-looking smiles with professional tooth bonding treatments that are quick, affordable, and long-lasting. In most cases, the repair is completed in a single visit, without discomfort or downtime.
Our team combines advanced cosmetic and restorative techniques with high-quality composite resin that blends seamlessly with your enamel. We help patients across Tucson and neighboring areas repair chips, close small gaps, and cover discoloration to create a healthy, confident smile that looks completely natural.
Meet Your Tucson Dentist
Dr. Brock Boudreaux, (pronounced “Boo-drow”) attended Utah Valley University for his undergraduate degree. After which he traveled across the country to Kentucky where he received his Doctor of Dental Medicine degree from the University of Louisville School of Dentistry. Though he is a Louisville Cardinal for life, he is finding it very easy to become a Wildcat fan!
Let’s Get Your Smile
Taken Care Of
Do you have a question or would you like to schedule a visit? Contact our team, and we will assist you right away. We are here to offer thoughtful guidance and a smooth start to your care.
Types of Cosmetic Dental Bonding We Offer
Every smile is unique, and so are the ways we restore it. At Rincon Family Dentistry, we provide several bonding options designed to match different needs, from quick repairs to complete cosmetic transformations.
- Direct Composite Bonding
- Adhesive (Indirect) Bonding
- Composite Veneer Bonding
- Porcelain Bonding
- Full Composite Bonding
Direct Composite Bonding
Direct bonding is the most common and convenient option for small repairs. A tooth-colored composite resin is applied directly to your tooth, sculpted to the correct shape, and hardened with a special curing light. After polishing, it blends smoothly with surrounding enamel.
This method works best for chipped teeth, minor cracks, or light discoloration, offering a fast and affordable way to restore a clean, natural appearance in just one visit.
Adhesive (Indirect) Bonding
When a tooth has a deeper crack or more extensive damage, we may recommend adhesive bonding. During this process, we take an impression of your tooth and create a custom restoration that fits precisely once bonded in place.
This option adds extra strength and protection where it’s needed most. Patients often choose it for larger repairs or areas that require more bite support, knowing it will hold up beautifully and look completely natural.
Composite Veneer Bonding
For a complete cosmetic upgrade, composite veneer bonding transforms multiple teeth at once. Rincon’s dental specialist apply thin layers of composite material across the front surfaces to correct chips, stains, or uneven spacing.
It gives you the same refined look as veneers, but without the added cost or enamel reduction. You will see your smile look brighter, smoother, and more even, yet it will still feel completely natural when you talk and laugh.
Porcelain Bonding
Porcelain bonding provides an upgrade in strength, color stability, and longevity. It’s a good choice for if you want extra durability or a highly polished, stain-resistant finish.
Each porcelain restoration is custom made in our dental lab, then bonded carefully to your tooth for a smooth, natural fit. The material reflects light like real enamel and keeps its brightness for years with proper care.
Full Composite Bonding
Full composite bonding is a great option when several teeth need improvement at the same time. Using tooth-colored composite resin, our team reshapes each tooth to repair chips, close gaps, and even out alignment in a single, coordinated treatment.
The finished smile looks refreshed and natural, with color and shape that blend perfectly with your existing teeth. It’s a simple way to achieve a complete, confident look without altering healthy enamel.
We also provide insurance help and saving plans so you can get affordable treatment without delay, and follow the Tucson’s local laws to ensure the best regulated treatments for our neighbors.
Frequently Asked Questions
How long does dental bonding last?
With regular brushing, flossing, and routine cleanings, bonding can last 5 to 10 years. Our team may recommend occasional touch-ups to keep the color and surface smooth.
Can bonded teeth be whitened?
Composite resin does not respond to whitening products. If you are planning to brighten your smile, whitening should be done first so the resin shade matches your teeth evenly.
Is dental bonding painful?
The procedure is gentle and typically painless. Numbing is only needed when the treated area is already sensitive.
How much does dental bonding cost in Tucson?
Pricing depends on the size and number of teeth being restored. Most treatments range from $300 to $600 per tooth, and we will review exact costs after your evaluation.
Can bonding fix a chipped or gapped tooth?
Yes. Bonding is one of the quickest ways to repair chips, close gaps, and even out the edges of your smile. Many cases can be completed in a single appointment.
Is bonding better than veneers?
Bonding is more affordable and can be completed in one visit, while veneers provide added longevity and stain resistance. We will help you choose the option that fits your goals, budget, and long-term plan.
How should I care for bonded teeth?
Brush twice a day with a soft toothbrush, floss gently, and avoid chewing on hard objects. Regular dental visits every six months help keep the bonded areas smooth and glossy.
