High Quality Dental Veneers in Tucson
If your teeth are stained, chipped, or uneven, our custom dental veneers can restore a confident, natural smile. As trusted cosmetic dentistry experts in Tucson, we design veneers that beautifully reshape your teeth, covering small imperfections with lasting and affordable treatment options.
Meet Your Tucson Dentist
Dr. Brock Boudreaux, (pronounced “Boo-drow”) attended Utah Valley University for his undergraduate degree. After which he traveled across the country to Kentucky where he received his Doctor of Dental Medicine degree from the University of Louisville School of Dentistry. Though he is a Louisville Cardinal for life, he is finding it very easy to become a Wildcat fan!
Let’s Get Your Smile
Taken Care Of
Do you have a question or would you like to schedule a visit? Contact our team, and we will assist you right away. We are here to offer thoughtful guidance and a smooth start to your care.
Best Dental Veneer Services We Offer
We provide a full range of cosmetic veneer solutions to match your smile goals and budget. If you are considering a complete makeover or a subtle enhancement, our team will help you choose what fits your teeth, bite, and lifestyle best.
Porcelain Veneers
Porcelain veneers are ideal for addressing discolouration, minor alignment concerns, or chipped edges. Each ultra-thin shell is designed to match your tooth shade and translucency, creating a smooth, natural-looking finish.
Our dentist takes a precise digital impression and selects the shade that blends seamlessly with your surrounding teeth. A thin layer of enamel is carefully shaped for secure placement. Veneers are bonded using high-strength dental adhesive and curing lights for a natural, lasting result.
Over the years, we have helped many patients from East Tucson to Civano and Rolling Hills enhance their smiles by concealing minor flaws with these long-lasting, stain-resistant veneers that maintain their brightness for years.
Composite Veneers
For those patients who want a faster solution, our composite veneers can reshape your smile in a single visit. We apply tooth-colored composite resin directly to your enamel, sculpt it for balance, and polish it to match your natural shine.
This one-appointment treatment requires minimal enamel adjustment, making it comfortable and efficient. It is a popular choice if you want a low-cost option that still delivers noticeable cosmetic improvement.
Snap-On Veneers
If you are looking for a quick, non-invasive way to improve your smile, snap-on veneers might be the perfect fit. They simply clip over your teeth to cover stains, chips, or small gaps, giving you an instant cosmetic upgrade without any drilling or enamel removal.
At Rincon Family Dentistry, we often recommend them to patients who want to preview how veneers could change their appearance before committing to a permanent treatment. These thin, custom-made shells look natural, feel comfortable, and can be removed whenever you like.
During your visit, we will examine your bite and enamel to confirm that this no-prep option suits your smile. We use trusted systems such as Lumineers, chosen for their durability and lifelike translucency.
Many patients from Rita Ranch and nearby neighborhood appreciate how easy and comfortable this treatment is for achieving a brighter, more even smile.
Removable Veneers
Sometimes you just want to see your smile the way it could be, brighter, smoother, and more even, without any drilling or permanent changes. Removable veneers make that possible. These thin, custom shells fit over your teeth to hide chips, stains, or gaps, giving you an instant upgrade you can take on and off whenever you like.
Many patients choose them to preview how a full veneer treatment might look or to feel more confident before an important event.
At our family dentistry, we shape and color-match every set so it blends naturally, feels secure, and looks as real as your own teeth. You will notice the difference the moment you look in the mirror.
Our Dental Veneers Procedure
Your veneer treatment at Rincon Dentistry follows a smooth, step-by-step process designed for comfort, accuracy, and lasting results.
What the process includes:
• Consultation and Smile Planning: A complete oral exam, digital X-rays, and a discussion about your goals help us create a plan that fits your needs and natural features.
• Digital Scans and Design: We capture high-resolution images to map out tooth shape, shade, and alignment before any work begins.
• Tooth Preparation: A thin layer of enamel may be shaped for a perfect fit. For no-prep cases, this step can often be skipped.
• Temporary Veneers: When needed, temporary veneers are placed to protect your teeth while your custom set is crafted.
• Bonding and Placement: Once your veneers are ready, we use advanced dental cement and curing lights to secure them. The bite and shape are checked for balance and comfort.
• Aftercare and Maintenance: We will guide you on cleaning, toothpaste type, and food habits, plus schedule follow-ups to keep your smile healthy and bright.
Our team has completed many veneer treatments throughout Tucson, helping patients achieve bright, natural smiles that look and feel authentic.
Frequently Asked Questions
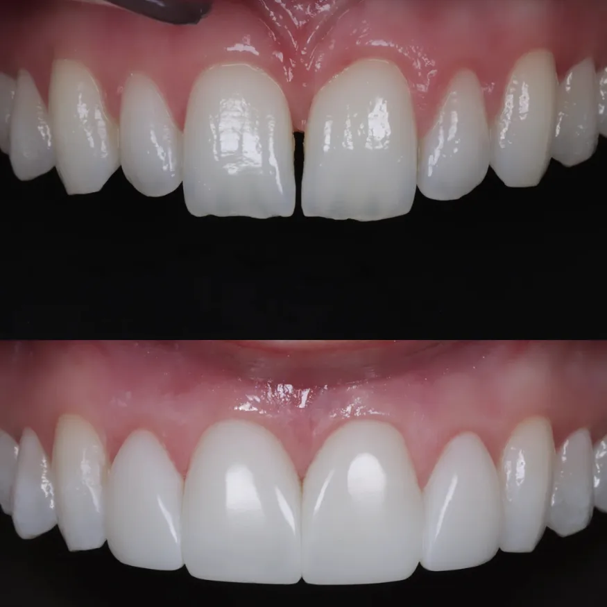
What do teeth look like before and after veneers?
Before treatment, teeth may appear uneven, stained, or chipped. After veneers, they look smoother, brighter, and more uniform.
How much do veneers cost in Tucson?
They typically range from $900 to $3,000 per tooth, depending on the material, procedure, and case complexity.
Where to get the best veneers in Arizona?
Rincon Dentistry offers custom, life-like veneers crafted with high-grade materials and advanced techniques for lasting beauty.
Are veneers permanent?
The enamel reshaping is permanent, but veneers themselves last 10-15 years on average with good oral hygiene and regular checkups.
Can damaged veneers be repaired?
Yes. At Rincon Dentistry, we repair small chips or surface cracks by polishing or rebonding the veneer. If the damage is deeper, we replace it with a new one that matches your smile perfectly.
Should I get crowns or veneers?
Crowns work best for weakened or decayed teeth, while veneers are ideal for cosmetic improvements. Our dentist will recommend what’s right for your smile.
