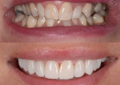
Clear and Invisible Braces in Tucson for a Natural Smile
Many people delay orthodontic care because they don’t want visible metal brackets. At Rincon Dental, we make straightening your smile comfortable and discreet. Our tooth-colored braces align teeth effectively while blending with your natural enamel, so you can improve your bite and confidence at the same time.
Our Tucson orthodontic team uses 3D imaging and advanced bonding materials to design each plan with accuracy and comfort in mind. Over the years, local families have trusted us for orthodontic care that feels personal, looks natural, and fits their daily routine.
Meet Your Tucson Dentist
Dr. Brock Boudreaux, (pronounced “Boo-drow”) attended Utah Valley University for his undergraduate degree. After which he traveled across the country to Kentucky where he received his Doctor of Dental Medicine degree from the University of Louisville School of Dentistry. Though he is a Louisville Cardinal for life, he is finding it very easy to become a Wildcat fan!
Let’s Get Your Smile
Taken Care Of
Do you have a question or would you like to schedule a visit? Contact our team, and we will assist you right away. We are here to offer thoughtful guidance and a smooth start to your care.
Our Clear Braces Services
Before starting your clear braces journey, we capture digital scans, panoramic X-rays, and a bite record to see how your teeth move and fit together. This gives us a clear picture of what needs to be adjusted and helps plan treatment that feels smooth and predictable.
We recommend clear braces that fit your teeth and goals. The process stays gradual and keeps your smile natural while alignment improves. Our dentist reviews your braces during visits, makes small adjustments when needed, and keep the treatment moving smoothly toward your final result.
Ceramic Braces
Ceramic braces use clear brackets that blend with the colour of your teeth. They are a good choice if you want straighter teeth without the look of metal. The material stays smooth and resists stains, so the braces stay clear throughout your treatment.
During your visits, we check how your teeth are moving and make small adjustments when needed. This keeps treatment moving smoothly and helps your smile develop naturally.
Self-Ligating Braces
Self-ligating braces use brackets with a small built-in clip that holds the wire in place. The clip reduces friction, so teeth shift with a lighter force. Because there are no elastic ties, it’s easier to keep the brackets clean, and food doesn’t build up as easily.
These braces can shorten visits and keep adjustments simple. We review movement at each appointment, update the wire sequence when needed, and make sure the bite is aligning properly. Many patients like that self-ligating systems feel lighter and stay cleaner through treatment.
Clear Aligners
We use clear aligners for patients who want straighter teeth without braces. These trays are made from smooth, transparent plastic and shaped precisely for your mouth. They fit comfortably and guide teeth into a better position a little at a time.
Treatment starts with digital imaging that shows how your teeth will shift and where the trays will guide them. As movement continues, new trays replace the old ones to keep progress steady. You can remove the trays for meals and brushing, which keeps daily care simple while your smile improves.
Treatment Process
Your treatment begins with a detailed evaluation led by our orthodontist. We look at how your teeth fit together, review digital scans and X-rays, and plan the movements needed for proper alignment. After the exam, we discuss your goals, go over the treatment timeline, and explain what to expect along the way.
Once the braces or aligners are placed, gentle adjustments guide your teeth into a better position. Progress is monitored closely to keep everything moving in the right direction. When alignment is complete, custom retainers are made to hold the results in place and keep your smile looking its best.
Maintenance and Care of Your Braces
Keeping braces or aligners clean makes treatment smoother and protects your teeth. Brushing after meals removes food around brackets or attachments, and a soft brush helps clean near the gumline without irritation. Flossing once a day or using a water flosser prevents buildup between teeth.
For aligners, rinse them in cool water and brush gently with mild soap. Hot water or harsh cleaners can damage the trays. Avoid drinks that cause staining, such as coffee or tea, to keep everything clear.
Our team reviews care routines at your visits and gives simple tips to make cleaning easy at home. A few extra minutes of daily care keep your teeth healthy and your treatment on track.
Frequently Asked Questions
How to clean teeth with braces?
Use a soft brush to clean your gums and use circular motion to clean teeth above and below the brackets. For deeper cleaning, you can use a floss threader or water flosser, an interdental brush, and an antimicrobial mouthwash to remove any stuck food particles and prevent plaque buildup.
How much do clear braces cost?
In Tucson, it can cost you between $4,000 and $8,000, but the final price depends on the complexity of your case and the type of treatment.
Clear vs metal braces, which alignment procedure takes longer?
Comparing both, clear braces treatment takes 12 to 36 months to align your teeth, while the other takes 20 months, on average. However, the process length can vary depending on the severity of misalignment.
At what age is it best for clear aligners?
12 years is the best age for this, as your molars have erupted and the jaw structure is still developing, which makes pushing the misaligned teeth into shape easier.
Which is better, Invisalign or clear braces?
Invisalign is comparatively more comfortable, both in wearing and adjusting. However, they can not correct severe misalignment issues, so they are best suited to fix crowding, gaps, overbite, and bite misalignments.
