Personalised Smile Makeover Treatments in Tucson
 
			A confident smile changes how you feel every day. Many people hold back from smiling because of chips, stains, or gaps that make them self-conscious in photos or conversations. At Rincon Dentistry, smile makeovers are designed to rebuild that confidence with personalised cosmetic and restorative treatments that combine artistry with modern dental technology.
Our professional dentists have helped countless Tucson patients rediscover their best smiles using advanced techniques, honest guidance, and technology trusted across modern dentistry. Each makeover plan is built around your goals, budget, and comfort level, so the outcome looks natural and feels like you again.
Meet Your Tucson Dentist
My name is Brock Boudreaux, (pronounced “Boo-drow”) I am originally from Utah and am slowly getting used to all of this Arizona heat. I attended Utah Valley University for my undergraduate degree. After which I traveled across the country to Kentucky where I received my Doctor of Dental Medicine degree from the University of Louisville School of Dentistry. Though I am a Louisville Cardinal for life, I am finding it very easy as a Tucson dentist to become a Wildcat fan!
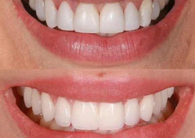
Comprehensive Smile Makeover Treatments
Every person’s needs are unique. Some patients want small refinements, while others look for a full reconstruction. We combine multiple restorative and cosmetic treatments to design the result that fits you best.
Professional Teeth Whitening
Daily habits like drinking coffee, tea, or wine can leave lasting stains that brushing cannot remove. Our in-office whitening safely lifts deep discolourations and brightens your smile several shades in one visit.
For those who prefer gradual improvement, take-home whitening kits with custom trays are available. These kits allow you to whiten your teeth on your schedule while maintaining the same professional standard used in our clinic.
Dental Veneers and Bonding
Small chips, cracks, or uneven edges can be corrected quickly with veneers or cosmetic bonding. Our dentist in Tucson uses high-quality porcelain and composite materials to reshape your teeth and bring back a smooth, natural look.
The color and texture are matched, so everything blends smoothly with your surrounding teeth. Many patients are surprised by how much a small change can lift their confidence and make them enjoy smiling again.
Smile Restoration and Tooth Replacement
Missing or damaged teeth can make chewing difficult and affect how your face looks over time. At Rincon Family Dentistry, our dentist restores strength and appearance using dental crowns, bridges, implants, and other custom treatments. These solutions support surrounding teeth, improve bite balance, and rebuild a complete, natural-looking smile.
Our team use 3D dental imaging during planning to ensure proper fit and function. Restorations are shaded to blend seamlessly with natural enamel and aligned carefully to maintain healthy occlusion. Our patients have noticed that the improvement in function and confidence is often immediate.
Aesthetic Smile Reconstruction
For patients with uneven gums or a “gummy” smile, our aesthetic reconstruction treatments restore proper proportion between teeth and gums. Gentle contouring creates balance, while veneers or crowns refine overall appearance.
Receding gums, spacing, and tooth wear can also be corrected as part of this process. These procedures are often combined to rebuild both the look and the health of your smile in a single coordinated plan.
Our Smile Makeover Process & Treatment Details
Your visit begins with a one-on-one consultation to discuss your goals and evaluate your oral health. Digital photos and 3D scans are taken to plan tooth position, color, and alignment before starting any treatment. You will also see a preview of your future smile and understand exactly which procedures will achieve it.
Once the plan is approved, treatments are completed in stages that fit your schedule. Some makeovers finish in one visit, while others involve a few short appointments. We let you know the timing and costs in advance, and we make sure you feel comfortable through every part of the process.
After treatment, we explain how to maintain your new smile with proper cleaning and routine checkups. These simple habits keep results strong and bright. Tucson patients from Downton to Pima West often mention that seeing their new smile for the first time is one of the most rewarding moments of the entire experience.
Frequently Asked Questions
How much does a smile makeover cost in Tucson?
Costs vary depending on the treatments included. A comprehensive plan can start around $10,000, and we provide itemized estimates after your consultation.
Is there an ideal age for a smile makeover?
There isn’t a fixed age. Younger patients often focus on whitening or minor alignment, while older adults seek full restorations. The best time is when you’re ready to enhance both the look and health of your teeth.
How long does treatment take?
Whitening may be finished in one visit, while complete makeovers that involve veneers, crowns, or implants can take several appointments. We design your schedule to be as efficient as possible.
Do smile makeovers last forever?
With proper home care and routine dental visits, results can last many years. Regular cleanings and avoiding stain-causing foods help keep your new smile bright.
 
					
 
					
				 
					
				 
					
				